とにかく、早い。あっというまの半年でした。気がつけば新病棟と旧病棟のリニューアルも終了して、すべてが新しくなっています。患者さんもたくさん集まってくれています。開業して5年目ですが、開業時からの2年くらいの記憶があまりいまはありません。忙殺で、同じことを延々と繰り返したからでしょうか?
いまは、道井先生初め、僕がいなくても、札幌ハートセンターは間違いなく前に進んでいきます。ありがたいやら、感謝やら。
I am specialist for CTO treatment, if you needed , feel free to contact me. Founder of SCVC, Former Chief of cardiology in Bali international hospital. Please contact me Email rotamanlaser@gmail.com, WhatsApp +818032356345
2012年6月30日土曜日
2012年6月27日水曜日
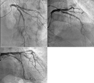
加藤先生のCTO
恒例のCTOの勉強です。本日の症例は3例
1例 LADのCTOです。レトロチャンネルはありますが、CTOの末梢が大きなseptalと、LADに分岐しています。そのLADに入るレトロチャンネルは#4PDの末梢のルートしかありません。選択造影でisolationをしてから多方向でみるとまっすぐ上にあがってから、くるっと一周してぬける感じです。シオンを一度別な枝にいれて、ひきながら先端を上にむけて通過させています。あとは、LADの前側は、大きなLADのために、gaia 2ndでも通過できず、コンクエストをつかって通過させて、reverese CARTで通過させています。
2例目は、LCXのCTOで、レトロができず、アンテからCTどうりのイメージでガイアを操作も穿孔しパラレルでガイアを通過させています。
3例目もLADのCTOです。長いCTOですが、アンテからガイアで中之島のsepに抜けてそこまでコルセアで通過させてから、IVUSガイドで向きを狙ってgaia をLADに通過させています。その後は、バイプレーンで方向をみながら、回さず、ワイヤーを通過させています。
これこそ、ガイアという通過の仕方です。CTOは、これからは、アンテからのガイアの操作の仕方がとても重要になります。今日も加藤先生の手元ばかりをみて勉強させてもらいました。
症例提示は、一例目です。レトロワイヤーの通過はまさにシオン様々という感じです。
1例 LADのCTOです。レトロチャンネルはありますが、CTOの末梢が大きなseptalと、LADに分岐しています。そのLADに入るレトロチャンネルは#4PDの末梢のルートしかありません。選択造影でisolationをしてから多方向でみるとまっすぐ上にあがってから、くるっと一周してぬける感じです。シオンを一度別な枝にいれて、ひきながら先端を上にむけて通過させています。あとは、LADの前側は、大きなLADのために、gaia 2ndでも通過できず、コンクエストをつかって通過させて、reverese CARTで通過させています。
2例目は、LCXのCTOで、レトロができず、アンテからCTどうりのイメージでガイアを操作も穿孔しパラレルでガイアを通過させています。
3例目もLADのCTOです。長いCTOですが、アンテからガイアで中之島のsepに抜けてそこまでコルセアで通過させてから、IVUSガイドで向きを狙ってgaia をLADに通過させています。その後は、バイプレーンで方向をみながら、回さず、ワイヤーを通過させています。
これこそ、ガイアという通過の仕方です。CTOは、これからは、アンテからのガイアの操作の仕方がとても重要になります。今日も加藤先生の手元ばかりをみて勉強させてもらいました。
消費税増税
昨日、衆議院で可決されました。ばくぜんと、借金大国の日本が、増税をしなければいけないというのは、理解できます。記事を読むと当然大方二つの意見に分かれます。日本のためには、増税が必要なので、党に関係なく可決するべきとう意見と、党として4年間増税をしないで、無駄を省くといった公約を守る必要があるので今回の増税には反対という意見があります。
我々経営者の目線からは、朝令暮改という言葉があるように、経営は日々かわるものですから、必要なことをどんどんやっていくということは重要だと思います。国会議員は日本の経営をしているので、増税が必要であればやるべきだと思います。
ただ、国会議員は、自分で借金をして自分で国を経営していません。国民の代表として国を経営しています。そしてそれは選挙で選ばれています。そのときに、我々はマニフェストや公約をもとに、それを信用して、投票します。その公約は今回の反故にされたわけですが、この点については、どうかんがえるべきなんでしょうね。
公約をまもらない党がわるいのか?それを選んだ国民がわるいのか?公約ってなんでしょう?マニフェストってなんでしょう?
最終的には、公約など守らない党を選んだ国民がわるいということなのでしょうか?
最近、信号機がLEDの普通のものからLEDの傾きのある薄い新しい信号機にどんどん変わってきています。借金あるのだから、いままでの物がつかえるのに、新しいものにどうしてするのだろうと思います。これも、あきらかに無駄ですよね。SCVCでは、まだ使えるものは、当然使いますし、一円でも無駄にする気はないです。そして、無駄というのは、本当にあります。信号機一つにしても、とても無駄を省いていますよという感じにはみえません。やはり、自分の借金でないと痛みがわからないのでしょう。
我々経営者の目線からは、朝令暮改という言葉があるように、経営は日々かわるものですから、必要なことをどんどんやっていくということは重要だと思います。国会議員は日本の経営をしているので、増税が必要であればやるべきだと思います。
ただ、国会議員は、自分で借金をして自分で国を経営していません。国民の代表として国を経営しています。そしてそれは選挙で選ばれています。そのときに、我々はマニフェストや公約をもとに、それを信用して、投票します。その公約は今回の反故にされたわけですが、この点については、どうかんがえるべきなんでしょうね。
公約をまもらない党がわるいのか?それを選んだ国民がわるいのか?公約ってなんでしょう?マニフェストってなんでしょう?
最終的には、公約など守らない党を選んだ国民がわるいということなのでしょうか?
最近、信号機がLEDの普通のものからLEDの傾きのある薄い新しい信号機にどんどん変わってきています。借金あるのだから、いままでの物がつかえるのに、新しいものにどうしてするのだろうと思います。これも、あきらかに無駄ですよね。SCVCでは、まだ使えるものは、当然使いますし、一円でも無駄にする気はないです。そして、無駄というのは、本当にあります。信号機一つにしても、とても無駄を省いていますよという感じにはみえません。やはり、自分の借金でないと痛みがわからないのでしょう。
症状をとる。
昨日、患者さんから電話をもらいました。過換気で倒れて救急である病院にいったのですが、そこは2回目だったらしいのですが、診察は医師がほとんど診もせず、過換気ごときで病院にきてどうするということを言われたそうです。それが、悔しかったんでしょう。僕に電話で、先生はどう思いますか?といわれました。
救急外来でのトリーアージの意味では、優先度は当然さがりますが、あえてそれを患者さんに言う必要はないと思います。そして、胸痛、呼吸苦という症状でいって、原因が過換気だから自分で治せるでしょうというのも、御法度です。
僕らは、まず、症状をとる。病気を治す、病気を予防するということをどんな病気でも、しっかりやる必要があります。
過換気の人は、なればわかりますが、自分でコントロールできないから病院にいくのです。そこをしっかり理解してあげなければいけないと僕は思います。
自慢ではありませんが、僕に電話をかけてくる患者さんの7割は、不安がベースで電話をしてきます。僕の声を聞き、ワイパックスを飲ませると改善します。でも、それでいいのです。胸痛や動悸をとるのが僕の仕事ですから、それで当然いいと思っています。
救急外来でのトリーアージの意味では、優先度は当然さがりますが、あえてそれを患者さんに言う必要はないと思います。そして、胸痛、呼吸苦という症状でいって、原因が過換気だから自分で治せるでしょうというのも、御法度です。
僕らは、まず、症状をとる。病気を治す、病気を予防するということをどんな病気でも、しっかりやる必要があります。
過換気の人は、なればわかりますが、自分でコントロールできないから病院にいくのです。そこをしっかり理解してあげなければいけないと僕は思います。
自慢ではありませんが、僕に電話をかけてくる患者さんの7割は、不安がベースで電話をしてきます。僕の声を聞き、ワイパックスを飲ませると改善します。でも、それでいいのです。胸痛や動悸をとるのが僕の仕事ですから、それで当然いいと思っています。
2012年6月25日月曜日
2012年6月23日土曜日
長所を活かせ。
人を活用するときに、欠点を克服させる方法と、長所を活かす方法があります。あまりにも、ひどい欠点は注意しますが、僕は人の長所を活かします。
仕事において、長所があるか?その長所は仕事と関係あるか?その長所によって成果をあげれるか?この条件が揃えば、よほどの欠点が無い限りは、一緒に働くべきです。
日本の人事考課はとても素晴らしいものですが、どちからというとマイナス要因で差をつけます。終身雇用制で、やる気を問われない仕組みのなかではこれでいいと思いますが、やる気の問われる当クリニックでは、人事考課はプラス要因で考えています。
起業も、仕事も、人もその強みをみつけ、それを活かせなければ、リーダー失格です。
仕事において、長所があるか?その長所は仕事と関係あるか?その長所によって成果をあげれるか?この条件が揃えば、よほどの欠点が無い限りは、一緒に働くべきです。
日本の人事考課はとても素晴らしいものですが、どちからというとマイナス要因で差をつけます。終身雇用制で、やる気を問われない仕組みのなかではこれでいいと思いますが、やる気の問われる当クリニックでは、人事考課はプラス要因で考えています。
起業も、仕事も、人もその強みをみつけ、それを活かせなければ、リーダー失格です。
2012年6月22日金曜日
北見でのCLIの症例
下肢の虚血で、BK病変であり、足首から先の血管も後脛骨が一部みえるのみ、ATAも、PAも足首で閉塞しています。PTAは、閉塞部不明のCTOです。本来あるべきところと思われうところの血管にワイヤーをいれても通過せず、IVUSで確かめるとその枝の下の枝が本幹と判明。しかし、その枝は横にちいさな枝をだすのみで、astateであるべきと思うところにワイヤーを通過させた。一番槍から先端造影で血管内であることを確かめて、その後にXTでのSSDで、末梢まで通過させて、バルーンで拡大した。
通常であれば、これはIVUSやらなければ、不成功の症例です。CTでも、PTAはみえなかったので、血管があるとは思っていませんでした。勉強になりました。
2012年6月21日木曜日
業務改善
業務改善するためには、無駄を省くことが重要です。どれが無駄かを意識してそれをすてるようにしないと、結局時間がかかってしまいます。
いまやってい業務に5人がいてそれで残業がふえてしまっているときに、人を増やせばいいという安易な発想しかないと、業務改善がされないままに人が増え結果、効率がおち、業務が非効率になり、結局7人にしても、残業かわらずということが多いと思います。いまある人と業務のなかでどのように改善すべきかの努力ができないといけません。そのためのヒントは、じつは日常業務のなかにヒントが隠されていることが多いとおもいます。どこがボトルネックになっているのか?それを改善するにはどうするか?そして新たに出現するボトルネックの調整も必要です。現場にいて、業務をみて、現場の人の声を聞けば答えがみえてくると思います。それが管理者の才能なのです。業務の効率を追求できなければ、人が増えて、手間が増えてもっと業務に支障をきたすことだということ理解しないといけません。
いまやってい業務に5人がいてそれで残業がふえてしまっているときに、人を増やせばいいという安易な発想しかないと、業務改善がされないままに人が増え結果、効率がおち、業務が非効率になり、結局7人にしても、残業かわらずということが多いと思います。いまある人と業務のなかでどのように改善すべきかの努力ができないといけません。そのためのヒントは、じつは日常業務のなかにヒントが隠されていることが多いとおもいます。どこがボトルネックになっているのか?それを改善するにはどうするか?そして新たに出現するボトルネックの調整も必要です。現場にいて、業務をみて、現場の人の声を聞けば答えがみえてくると思います。それが管理者の才能なのです。業務の効率を追求できなければ、人が増えて、手間が増えてもっと業務に支障をきたすことだということ理解しないといけません。
先週の土曜日にBSフジから南淵先生が出演
札幌ハートの手術室からの出演でした。南淵先生がすこしでも、宣伝になるようにとの配慮です。いつも、いろいろ気配りをしてもらってありがたいと思っています。
南淵先生は、文才もあり、マスコミとの上手なつきあい方をしっている方です。とても、助かっています。
2012年6月17日日曜日
心臓外科と循環器内科
この関係がうまくいかなくかると大変です。まず、患者さんへの治療をチームで対応するという意識が大切です。心臓外科にかかったら手術になって、内科にかかったらPCIになるというのでは、院内開業状態でもあり、一緒に仕事をしている意味がありません。まず、人として、次に医者として、信用できなければなりませんし、技術的にも、お互いを尊敬できる状態になければいけないと思います。
当院では、朝にカンファレンスがあり、その日にカテーテルをする患者さんや、エコーなどで、手術適応と思われる患者さんは、無条件でカンファレンスにかかります。また、CT、MRI,前日のカテーテル検査、治療、グラフトグラムなどすべての画像はカンファレンスにかかるようになっています。お互いのすべてをカンファレンスにだすことも重要であり、内科の進化している部分、外科の進化している部分を含めてお互いにスキルアップをしていく関係にならないと、いいチームはできないと思います。
札幌ハートセンター、僕と、道井先生と、南淵先生で、プレイングマネージャーとしていいハートセンターを作りましょうという形で始まっています。
とても、ありがたいことです。他の内科と外科もこうあって、欲しいと思います。患者さんのために。。。。
当院では、朝にカンファレンスがあり、その日にカテーテルをする患者さんや、エコーなどで、手術適応と思われる患者さんは、無条件でカンファレンスにかかります。また、CT、MRI,前日のカテーテル検査、治療、グラフトグラムなどすべての画像はカンファレンスにかかるようになっています。お互いのすべてをカンファレンスにだすことも重要であり、内科の進化している部分、外科の進化している部分を含めてお互いにスキルアップをしていく関係にならないと、いいチームはできないと思います。
札幌ハートセンター、僕と、道井先生と、南淵先生で、プレイングマネージャーとしていいハートセンターを作りましょうという形で始まっています。
とても、ありがたいことです。他の内科と外科もこうあって、欲しいと思います。患者さんのために。。。。
2012年6月16日土曜日
CTO
今回は、落合先生のレトロチャンネルの蛇行にシオンが追従という話と、ある特徴をもって蛇行しているという話もよかったですが、コルセアからのtip injectionからのレトロチャンネルの分離がいままでみたことがないほど、奥で造影しているのです。
落合先生を捕まえて、聞いたところ、やはりバックフローの確認はしていないそうです。その場所ではどんなに待ってもバックフローがないので、もっと引いた位置での、造影しかみたことがなかったので、とても新鮮でした。
そして、そのような奥でisolationされた造影の情報からシオンが強い先端カーブとともに、理論どうり通過することがわかりともて、収穫が得られました。
ただ、逆血の確認なしで先端造影が可能になった理由は、落合先生いわく、フィルダーなどのワイヤーとつかっていたころは、造影で穴があくことがあったが、シオンで丁寧にするとそれが起きにくいし、最初の造影はゆっくりするそうです。
CTOクラブのなかで、一番の収穫でした。
落合先生を捕まえて、聞いたところ、やはりバックフローの確認はしていないそうです。その場所ではどんなに待ってもバックフローがないので、もっと引いた位置での、造影しかみたことがなかったので、とても新鮮でした。
そして、そのような奥でisolationされた造影の情報からシオンが強い先端カーブとともに、理論どうり通過することがわかりともて、収穫が得られました。
ただ、逆血の確認なしで先端造影が可能になった理由は、落合先生いわく、フィルダーなどのワイヤーとつかっていたころは、造影で穴があくことがあったが、シオンで丁寧にするとそれが起きにくいし、最初の造影はゆっくりするそうです。
CTOクラブのなかで、一番の収穫でした。
CTOにおけるアンテグレードプレパレーション
CTOの治療をするときに、アンジオをしっかり読み、CTを読み、患者さんの経過を吟味して、デバイスの選択を含む、治療戦略の構築のことを指します。これを治療前にすべて決めておくことが重要なのです。レトロからの治療にするか?アンテからにするかも、レトロチャンネルをワイヤーを通過する可能性の吟味から、アンテグレードからのワイヤー通過をどこらへんで、レトロに変えるかなども、最初に決めておくことが重要です。最近、とくに重要だと思うことは、CTOでの分岐部病変です。この分岐部をしっかり治療できるようにCTOを治療すること重要だと思います。
昨日のCTOライブでも、朝倉先生の#3のStentでのCTOで末梢はStentの先から#3の末梢が狭窄とともにでていて、すぐに狭窄をともなった#4PDがでていました。CTOの末梢に分岐部病変がある症例です。
レトロは#4AVも#4PDもありますが、みた感じは#4AVのほうが簡単そうでした。この分岐部を含めてCTOをしっかり治療しようとすると、アンテからStentを通過するときに、ラッキにも、trueに抜けてくれれば、それでなんのも問題ないのですが、昨日のようにfalseに入れば分岐部を潰してしまいますし、どちらかに通過したとしても、ショートカットしていますので、分岐部を仕上げるのは、レトロとの組み合わせによるか?IVUSガイドは必須だと思います。そうすると、アンテから通過しなかった地点ですぐに#4AVへのレトロを組めば、レトロが通過すれば、#4PDの枝も救えるので、分岐部の処置は簡単になったと思います。最悪アンテを粘ったとしても、レトロの成功率の高い#4AV側ではなく、#4PDにアンテのワイヤーを通過させて、レトロから#4AVに通過させて分岐部をしあげる方が確率が高いとおもいます。
という感じのシュミレーションをCTOの治療前に吟味することがアンテグレードプレパレーションといって、とても大切なことだと思っています。
昨日のCTOライブでも、朝倉先生の#3のStentでのCTOで末梢はStentの先から#3の末梢が狭窄とともにでていて、すぐに狭窄をともなった#4PDがでていました。CTOの末梢に分岐部病変がある症例です。
レトロは#4AVも#4PDもありますが、みた感じは#4AVのほうが簡単そうでした。この分岐部を含めてCTOをしっかり治療しようとすると、アンテからStentを通過するときに、ラッキにも、trueに抜けてくれれば、それでなんのも問題ないのですが、昨日のようにfalseに入れば分岐部を潰してしまいますし、どちらかに通過したとしても、ショートカットしていますので、分岐部を仕上げるのは、レトロとの組み合わせによるか?IVUSガイドは必須だと思います。そうすると、アンテから通過しなかった地点ですぐに#4AVへのレトロを組めば、レトロが通過すれば、#4PDの枝も救えるので、分岐部の処置は簡単になったと思います。最悪アンテを粘ったとしても、レトロの成功率の高い#4AV側ではなく、#4PDにアンテのワイヤーを通過させて、レトロから#4AVに通過させて分岐部をしあげる方が確率が高いとおもいます。
という感じのシュミレーションをCTOの治療前に吟味することがアンテグレードプレパレーションといって、とても大切なことだと思っています。
2012年6月15日金曜日
本日は、いまから出張です。
本来であれば、昨日の最終でいきたかったのですが、鹿島先生をNYに出しているので、本日の出発になっています。
CTOクラブに参加です。毎月加藤先生が来てくれるおかげで、up to dateはされていますが、それ以外の先生の考えも参考にできそうで、楽しみです。場所が名古屋になって少し残念です。
昨日はTOPICでお願いされていた、ライブの2例目の収録をしました。前回は、アンテから通過してしまっています、今回は、#1のCTOでCTでは、#3まで造影剤がCTでは入ってきていないので、長いCTOで、これはレトロファーストでしょうということでやっています。EPIがなさそうですので、1st sepからシオンで通過をこころみています。なんどかいろんなところにいきながらも、先端45度で、どうしても一部 corkが通過できず、75度くらいの強さに曲げたら通過できました。ここをXTRやFilder でやると間違いなく、穿孔したと思います。あとは、コルセアを通過させてレトロのワイヤーをXTRにして進めるとレトロから通過してしまいました。あとは、通常の治療ですが、コルセア抜いたあとの造影でseptalが太くなっているので、やはりtinny channelだったということよくわかりました。
CTOクラブに参加です。毎月加藤先生が来てくれるおかげで、up to dateはされていますが、それ以外の先生の考えも参考にできそうで、楽しみです。場所が名古屋になって少し残念です。
昨日はTOPICでお願いされていた、ライブの2例目の収録をしました。前回は、アンテから通過してしまっています、今回は、#1のCTOでCTでは、#3まで造影剤がCTでは入ってきていないので、長いCTOで、これはレトロファーストでしょうということでやっています。EPIがなさそうですので、1st sepからシオンで通過をこころみています。なんどかいろんなところにいきながらも、先端45度で、どうしても一部 corkが通過できず、75度くらいの強さに曲げたら通過できました。ここをXTRやFilder でやると間違いなく、穿孔したと思います。あとは、コルセアを通過させてレトロのワイヤーをXTRにして進めるとレトロから通過してしまいました。あとは、通常の治療ですが、コルセア抜いたあとの造影でseptalが太くなっているので、やはりtinny channelだったということよくわかりました。
2012年6月14日木曜日
既存施設のリニューアル
一回は大幅にリニューアルしました。以前から問題のあった受付を広くして、入退院と、外来の受付を分けて、ブースを増設しています。
以前のレントゲンの場所は、バスキュラーラボとして、エコーが8台以上はいっても大丈夫なように部屋を作りなおしています。また、外来も2診から3診を増設して、経過観察ベットようのスペースも確保しています。かなりいいできです。
これで、すこしでも、待ち時間の短縮と、快適な検査ができるようになればいいと思っています。
以前のレントゲンの場所は、バスキュラーラボとして、エコーが8台以上はいっても大丈夫なように部屋を作りなおしています。また、外来も2診から3診を増設して、経過観察ベットようのスペースも確保しています。かなりいいできです。
これで、すこしでも、待ち時間の短縮と、快適な検査ができるようになればいいと思っています。
2012年6月13日水曜日
本日から鹿島先生がニューヨークにMt sinaiのライブの勉強です。
先月、PCRに出したばかりですが、今月もニューヨークに勉強にいってもらいます。新しい刺激をいっぱいうけてきて、還元してくれることを期待しています。
当院では、少なくても年に一回の海外出張をドクター全員に許可しています。リフレッシュと新しい刺激が次につながると信じています。
当院では、少なくても年に一回の海外出張をドクター全員に許可しています。リフレッシュと新しい刺激が次につながると信じています。
2012年6月11日月曜日
トップとは、
所属長、チームなどのリーダーは、下から尊敬されないと調和が保てません。
どのように尊敬されるか?
仕事ができれば、多くは尊敬されるが、それがないとしても、一生懸命に働く。誰よりも遅くまで働くことをすれば、下は自ずとついてくるものだと思います。
下に尊敬をされない上司は、その上司にした人事のものに責任があり、本人は悪くありません。
これから、色々考えていきます。
どのように尊敬されるか?
仕事ができれば、多くは尊敬されるが、それがないとしても、一生懸命に働く。誰よりも遅くまで働くことをすれば、下は自ずとついてくるものだと思います。
下に尊敬をされない上司は、その上司にした人事のものに責任があり、本人は悪くありません。
これから、色々考えていきます。
2012年6月9日土曜日
奇麗な内胸動脈グラフト
LADに内胸動脈は、つなげることが大切なのですが、当院の道井先生は、グラフトがまっすぐに冠動脈に入る美しさです。
いままでなら、内胸動脈が蛇行してから、つながっていたバイパスをみていただけに新鮮です。
このやり方は、ひっぱってつなぐそうです。人工心肺使うと、心臓が小さくなるので、心拍動下で長さをはかってから、人工心肺を使うそうです。
このこだわりがいいですね。奇麗なグラフトは美しいそして美しいグラフトは一生持つでしょう。
いままでなら、内胸動脈が蛇行してから、つながっていたバイパスをみていただけに新鮮です。
このやり方は、ひっぱってつなぐそうです。人工心肺使うと、心臓が小さくなるので、心拍動下で長さをはかってから、人工心肺を使うそうです。
このこだわりがいいですね。奇麗なグラフトは美しいそして美しいグラフトは一生持つでしょう。
2012年6月8日金曜日
心臓外科とのコラボレーション
先週は、小倉、今週は、アダタラライブといってきました。時間がなく、あまり参加できませんでしたが、僕の担当の部分では、ライブにしては珍しくて適応についてのディスカッションがありました。どちらも、いまならバイパスですという話をしたら、なんとコンサバですねというコメントをいただきびっくりです。
アダタラでは、僕が尊敬する加藤先生のコメントライブ(?)なる趣旨のライブでしたが、LAD OSのCTOでしたが、いわゆるantegrade preparationでの、治療戦力の重要性を解かれていました。いつも、当院での加藤先生のライブでカンファレンスしているそのものでした。このかたの治療戦略も、じつは、LADをあけることよりも、大きな対角枝をしっかり血行再建ができるか?右の#4PD #4AVの治療戦略が重要ということです。そしてこの対角枝が治療ができない見込みであれば、加藤先生も僕同様バイパスですといっていました。冠動脈を治療するだけではなく、それにより意味のある血行再建ができなければだめという当たり前の結論です。僕らカテーテル治療医は、PCIといいところとバイパスのいいところをお互いに理解しないといけませんし、お互いのUP to DATEを教えあう必要があります。
そのためには、内科医と外科医がすべての症例のカンファレンスをすることが重要と思っています。
冠動脈治療は、PCIでも、バイパスでも同様に治せるそして、お互いのメリット、デメリットを短期、長期に考えて患者さんに提供することが大切なのです。
要するにPCIが難しいからバイパスという発想は間違いなのです。
昨日、MSの術前の患者さんで、複数回PCIを受けている患者さんの術前カテーテルがあり、LAD DX 分岐部に50/75%の狭窄とLCXに75%の狭窄があり、なんと道井院長のほうから、FFRをLADにしてくれというオーダーがあり、 FFRでは低下がなく、これはバイパスがLADに必要ないので、MSとバイパスをLCXのためにやる必要はないので、LCXは、MSの術後に治療するようにという、オーダーでした。
これこそ、外科が内科から勉強をした証拠です。
どうように僕ら内科もたくさん勉強することがあります。バイパスもオンレイパッチや、とくに弁については、形成術の進化や、ASの弁下組織の筋肉のmyectomyなど、カンファレンスで毎日学んでいます。
症例は、FFRした症例です。
アダタラでは、僕が尊敬する加藤先生のコメントライブ(?)なる趣旨のライブでしたが、LAD OSのCTOでしたが、いわゆるantegrade preparationでの、治療戦力の重要性を解かれていました。いつも、当院での加藤先生のライブでカンファレンスしているそのものでした。このかたの治療戦略も、じつは、LADをあけることよりも、大きな対角枝をしっかり血行再建ができるか?右の#4PD #4AVの治療戦略が重要ということです。そしてこの対角枝が治療ができない見込みであれば、加藤先生も僕同様バイパスですといっていました。冠動脈を治療するだけではなく、それにより意味のある血行再建ができなければだめという当たり前の結論です。僕らカテーテル治療医は、PCIといいところとバイパスのいいところをお互いに理解しないといけませんし、お互いのUP to DATEを教えあう必要があります。
そのためには、内科医と外科医がすべての症例のカンファレンスをすることが重要と思っています。
冠動脈治療は、PCIでも、バイパスでも同様に治せるそして、お互いのメリット、デメリットを短期、長期に考えて患者さんに提供することが大切なのです。
要するにPCIが難しいからバイパスという発想は間違いなのです。
昨日、MSの術前の患者さんで、複数回PCIを受けている患者さんの術前カテーテルがあり、LAD DX 分岐部に50/75%の狭窄とLCXに75%の狭窄があり、なんと道井院長のほうから、FFRをLADにしてくれというオーダーがあり、 FFRでは低下がなく、これはバイパスがLADに必要ないので、MSとバイパスをLCXのためにやる必要はないので、LCXは、MSの術後に治療するようにという、オーダーでした。
これこそ、外科が内科から勉強をした証拠です。
どうように僕ら内科もたくさん勉強することがあります。バイパスもオンレイパッチや、とくに弁については、形成術の進化や、ASの弁下組織の筋肉のmyectomyなど、カンファレンスで毎日学んでいます。
症例は、FFRした症例です。
2012年6月6日水曜日
本日の業務終了。
本日も、多くの症例がありましたが、勉強になった症例がありました。CTOで足から8Frをさしたのですが、穿刺した裏側から出血しており、穿刺部は腫れずに、大腿部に血腫ができ、血圧が低下したために、中断しています。昇圧剤の反応がわるく、顔色も悪かったので、血液ガスをとってみて、判明です。hb7.5でした。
穿刺は後壁をしてはいけませんね。TFIの怖さですね。
穿刺は後壁をしてはいけませんね。TFIの怖さですね。
2012年6月5日火曜日
虚血性心疾患
狭心症の症状を聞けば、90%はその症状が本物かどうか?判断できます。そして、胸が痛いという方の症状を、冠動脈を治療すればいいのか?それとも、別な原因なのか?それも、心筋虚血ではなく、精神的なものなのかの判定をします。
ときに、曖昧なときは、ニトロの舌下で判定をします。
患者さんは、その症状をとってくれることを希望しています。まず、その症状をとってあげないと、検査で異常があっても、なくても、信頼されないと思います。
逆に無症状の患者さんについては、他覚的な虚血所見が必要になります。最近は、FFRという検査で治療をすべき虚血か?経過をみていいかの判断ができるようになっています。
無症状については、FFRガイドでカテーテル治療をします。
問題は、狭心症の患者さんに対してです。FAMEなどの研究は安定狭心症が対象になっています。FFR0.8以上ではイベントの発生はすくなく内科的にみても、予後良好とされています。これは、イベントの発生の問題であって、症状がある方については、症状がとれなくても、イベントが発生しないのでよしということです。
でも、患者さんは症状がとってほしくて、きます。当然虚血による胸痛なので、FFRは低下すると思いますが、0.8を切るかは、微妙だと思っています。
一律にFFRが0.8以上だから、PCIは不要というのは、患者不在で、冠動脈しかみていないと思います。
PCIは、生命予後を改善するたいそれた治療ではなく、究極の対症療法ともいえますので、原則胸痛をとってあげるという目的を忘れてはいけないと思います。
このように症状があるか?ないか?で、対応をしていきます。
ときに、曖昧なときは、ニトロの舌下で判定をします。
患者さんは、その症状をとってくれることを希望しています。まず、その症状をとってあげないと、検査で異常があっても、なくても、信頼されないと思います。
逆に無症状の患者さんについては、他覚的な虚血所見が必要になります。最近は、FFRという検査で治療をすべき虚血か?経過をみていいかの判断ができるようになっています。
無症状については、FFRガイドでカテーテル治療をします。
問題は、狭心症の患者さんに対してです。FAMEなどの研究は安定狭心症が対象になっています。FFR0.8以上ではイベントの発生はすくなく内科的にみても、予後良好とされています。これは、イベントの発生の問題であって、症状がある方については、症状がとれなくても、イベントが発生しないのでよしということです。
でも、患者さんは症状がとってほしくて、きます。当然虚血による胸痛なので、FFRは低下すると思いますが、0.8を切るかは、微妙だと思っています。
一律にFFRが0.8以上だから、PCIは不要というのは、患者不在で、冠動脈しかみていないと思います。
PCIは、生命予後を改善するたいそれた治療ではなく、究極の対症療法ともいえますので、原則胸痛をとってあげるという目的を忘れてはいけないと思います。
このように症状があるか?ないか?で、対応をしていきます。
2012年6月3日日曜日
原則はいつも同じ。
小倉の帰ってくるときに、石原慎太郎氏の新堕落論なる本を読みました。気骨のある芯のある考えです。昔の日本人のよさを書いています。教育勅語なる僕はみたことがありませんが、その口語訳をみて、びっくりとてもまともな博愛の助け合う、親を敬いというまともなことが書かれています。石原さんは、米国によって骨抜きにいかに日本がされたかを力説していますが、日本人のDNAは、いつか復活するときがくると思います。米国のいいところと悪いところと日本人でしか作れなかった日本文化をしっかり融合させてやっていく必要があると思いました。
でも、教育勅語が素晴らしいです。戦前のその時代に生きていないので、その後の情報は正しいかどうかわかりませんが、日本はいいなと思いました。
でも、教育勅語が素晴らしいです。戦前のその時代に生きていないので、その後の情報は正しいかどうかわかりませんが、日本はいいなと思いました。
2012年6月2日土曜日
小倉から帰札
九州の小倉で29回の小倉ライブに参加してきました。20年まえから参加しているような気がします。まだ、携帯がなかった気がします。カテーテルインターベンションの創世記から円熟期に関われてよかったという感じがします。
でも、レトロは、やはり加藤先生のライブをいつもまじかでみているので、なるほどという感じでした。
でも、レトロは、やはり加藤先生のライブをいつもまじかでみているので、なるほどという感じでした。
登録:
コメント (Atom)
CTOの治療があきらかにかわってきている。
今回のNY CTOでの感想。最初のGWがほぼPJWsでした。以前のようなガイアなどで行うことがほぼなくなっています。そして、ナックリングです。穿孔を防ぐという意味で、これはとても合理的です。PJWsの使用およびナックリングの使用は穿孔をあきらかに防ぎます。ただ、これからは、積極的...
-
シオンとシオンブルーの違い。 本日のCTOの症例で造影上ではさほど、時間がたっていない造影で、なんとなく造影がアンテからながれています。 このような最近できたマイクロチャンネル?を追従させるのは、シオンがいいか?シオンブルーがいいか? 両者とも現時点ではだめです。シオ...
-
ひさしぶりに、書きましょう。 6月いっぱいで、札幌ハートセンターの理事長を退任し、札幌の職員から、香港アジアグループの職員およびバリのSCVCの職員としての立ち位置になりました。 札幌心臓血管クリニックを立ち上げてから、ここまで成長しくれて、患者さん、紹介医の先生方のおかげです...
-
以前にも、前職場で、この看護婦長はすごいと書いた多湖さんと久しぶりの再開です。 多湖さんとは、僕が一年目の研修医の頃に、徳洲会の婦長として入ってきたからの仲です。眼力がはんぱなく、白石徳洲会病院時代には、看護婦さんをたくさん集めてさすがという采配でした。東徳洲会時代にも、看護部...
-
ある人が、札幌心臓血管クリニックの口コミを心配して教えてくれました。 以前からチェックをしている部分で、改善できるところはしっかり改善するように努力をしています。 ただ、ながーい待ち時間での30秒診察については、これがなかなか改善できない。とくに、問題がなければ、問題なし。...
-
最近のワイヤーのトレンドとは、 いかに先端荷重を少なく、トルク特性をあげることです。先端荷重を0.5gくらいに抑えられれば、14ワイヤーであれば、ワイヤー操作でチャンネルを壊すことは、極めて少なくなります。 フィルダーFCや、以前のXTは、やわらかいですが、そのような意味では、繊...
-
LCXの#11の分岐部の狭窄で、クランクして狭窄があるので、通常のワイヤーのまげでは、#11にしかいきません。 某病院で3時間かけて、やって失敗したということで、北海道の当院まできました。 クルセイドを使用したFilder FCによるReverse wireで#12を選択して、あ...
-
色々な挑戦の年になるでしょう。 自分の興味のひとつで、戸塚先生の動画を色々みているうちに、感じるものがあります。自分は体罰世代です。人間が始まってから、体罰は、ずっとあり、ここ数十年で、体罰が悪ということで、過去からいままであったものを全否定する時代に突入しています。自分は、体...
-
昨日、患者さんから電話をもらいました。過換気で倒れて救急である病院にいったのですが、そこは2回目だったらしいのですが、診察は医師がほとんど診もせず、過換気ごときで病院にきてどうするということを言われたそうです。それが、悔しかったんでしょう。僕に電話で、先生はどう思いますか?といわ...
-
今回、参加して、やはり毎月加藤先生にきてもらっているおかげで、レトロチャンネルの選択のしかた、探しかた、だめなときの、対応のしかたなど、十分に理解している自分を再認識しました。また、加藤先生が、レトロのワイヤーの通過をはかるのに、100%の方法をするために、IVUS ガイド re...
-
国民健康保険はありますが、使える医療が制限されています。僕のカテーテル治療でいうと、病変に関わらず、1本のバルーンとステントしかつかえません。そのために、多くの人がカテーテルではなく、バイパスに周ります。しかし、バイパスも2年待ちです。ですから、お金のあるかたは、民間保険で、P...


