基本給は高いです。夜勤手当を2万円にします。保育手当は8割負担します。退職規約もつくりました。
いままで、以上の仕事のやりがいと、高収入を保証します。
ぜひ、SCVCで一緒に働きましょう。
年齢、経験問わず、やる気のみです。
札幌心臓血管クリニック 伊勢事務長もしくは、狩野看護部長まで連絡ください。
Tsutomu Fujita M.D. Founder of SCVC, Chief of cardiology in Bali international hospital. Please contact me Email rotamanlaser@gmail.com, WhatsApp +818032356345












現在は胸の痛みもまったく無く、
本当に劇的な改善に自分でも驚いています、これもひとえに、
ホームドクターの○先生、
実は、専門医での受診を薦められたとき、どこの病院に行くか(
ドクター全員のスキルが高いプロフェッショナル集団がいる病院し
そして、その選択は正しかったと確信しています。
藤田先生そしてスタッフの皆さん、
患者さんからこのようなメールをいただくと、本当によかったと思います。
プロフェッショナルな集団として、医療、サービスとも、一番を目指します。
感謝感謝です。




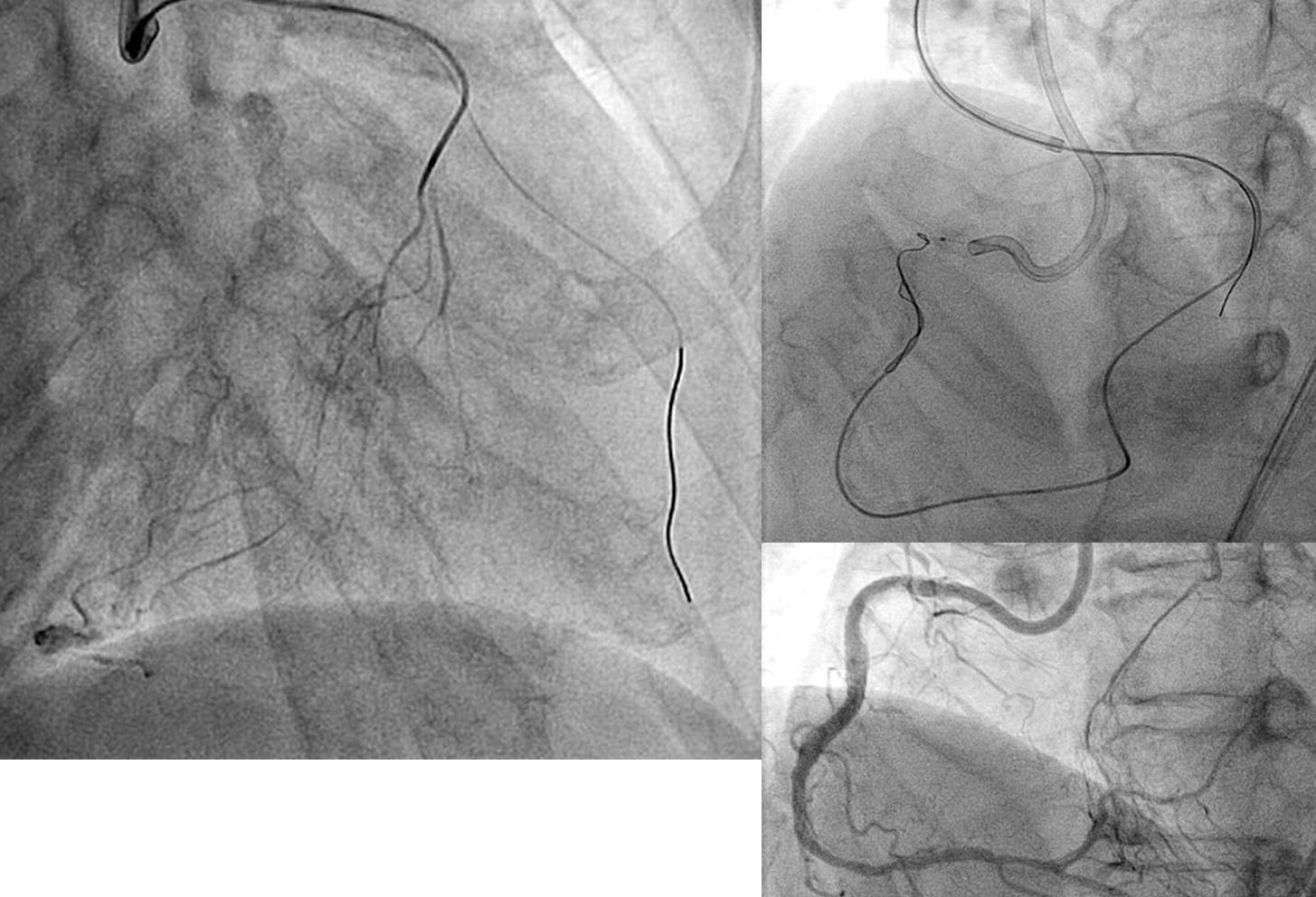
RCA CTO pilot GAIA2でPnctureできず、CP12でHDRもEPであり、その後にTDHDRを試みるも、石灰化でGWが一度はいるも、コルセアが通過できたが、HDRでType 2もその後にGWがEPにでてしまい。 TDADRで#3で穿刺した。plaqueが固く最...